Appointment
  • Home
  • Dental hospital near me

Dental hospital near me

A bright smile boosts one's confidence, and healthy teeth unlock it. Check-up or toothache, looking for a dental hospital near me is the answer. Proper oral care is never far away, and knowing where to go certainly counts a lot.

Don't Wait for Small Issues to Get Worse

Little pain throughout the day is just neglected by everyone, hoping that it is nothing. Light sensitivity today may, however, develop into scorching pain tomorrow. Early discovery of a dental hospital near me will keep on rescuing you from costly treatments and maintaining teeth in good condition.

Comfort Matters During Dental Visits

Visiting a dental hospital near me does not have to be a scary thing. A properly equipped dental hospital near me does its best to have a warm and friendly atmosphere. Whether it is a routine checkup or a complex procedure, feeling at ease is what it's all about.

  • Experienced Doctor

  • Sterlized Environment

  • Finance Options 0% EMI Available

  • Honest Pricing

  • Free Consultation

  • Digital Technology

Dental Care for Kids

Children need a friendly dental visit. A child-friendly dental hospital near me makes it possible for them to create habits early on. Tooth Craft is careful to treat children gently to make visits for children and parents hassle-free.

Convenience Makes Dental Care Easier

Nobody enjoys going out of the way to get a dental checkup. A convenient dental hospital near me with simple-to-do timings and simple appointments make it a breeze. Tooth Craft makes dental care easy, taking effort and time-saving itself.

Learning to Keep the Mouth Healthy

A quality dental hospital near me not only fixes problems—it prevents them. Educating patients on brushing, flossing, and diet is a vital part of keeping teeth healthy. Tooth Craft—dental hospital near me—appreciates treatment and prevention.

Cosmetic Dentistry for a Dazzling Smile

A smile with confidence can make all the difference. A cosmetic dental hospital near me offering veneers and whitening can alter a smile. At Tooth Craft, our skilled professionals have patients looking and feeling their best.

Be Prepared for Dental Emergencies

Toothaches, chipped teeth, and gum pain may strike at any moment. A good dental hospital near me ensures prompt action and effective treatment. Being a good quality clinic, Tooth Craft prevents complications and provides instant relief.

The Right Dental Hospital Near Me

A well-facilitated dental hospital near me has to provide professional care, a comfortable ambiance, and convenient accessibility. With technologically advanced treatment and patient-focused care, Tooth Craft is the complete destination for guaranteeing a healthy, glowing smile.

Our Services


Dental Implants

Dental Implants

Know more
Orthodontic Treatment

Orthodontic Treatment

Know more
Cosmetic Dentistry

Cosmetic Dentistry

Know more
Dentures

Dentures

Know more

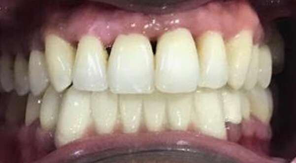
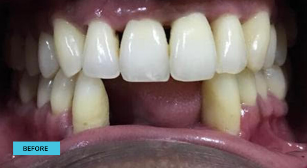
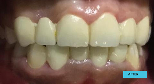
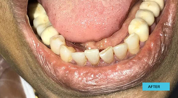
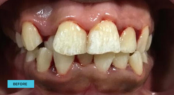
Before & After


Our Treatment Protocols


Treatment

1. Initial Consultation with the resident dentist regarding the dental issues.

Treatment

2. X-rays and treatment options discussed by resident dentist.

Treatment

3. Specialist dentist for diagnosis and treatment planning

Treatment

4. Proposed treatment done Comfortably by specialist dentist.

Treatment

5. Patient sent happily after solving their dental problems

Treatment

6. Periodic review and regular follow ups done...

Our Team


Monica

Dr. Monica BDS

Cosmetic dentist (11y exp.)

Preethi

Dr. Preethi.R BDS

Resident dentist (6y exp.)

Ms. Meena

Dr. Meena BDS

Resident dentist (6y exp.)

Deepak

Dr. Deepak MDS

Root Canal specialist (9y exp.)

Merlin

Dr. Merlin MDS

Oral pathologist (8y exp.)

Waleed

Dr. Waleed MDS

Implant and Gum specialist (9y exp.)

11

Years of Experience

20000

Patients Treated

1000

Braces Cases Done

500

Implant Cases Done

Testimonials


Our Mugalivakkam Branch


Our Videos


Our Locations Book an Appointment


Saidapet

Saidapet

No.45, Karaneeswarar Koil Street, Saidapet, Chennai - 600 015.

LandMark: Near Karneeshwarar koil street

Dr. M. Anand
+91 - 99412 65427, 044 - 48620201

Consulting Hours:
9 AM to 9 PM

Working Days:
Mon to Sun

Ashok Nagar

Kodambakkam

No 47, Ashok nagar 4th Avenue 8th Ave. Ashok nagar. Chennai - 600083

LandMark: Near Tender cuts

Dr.Maheshwari
+91 - 99402 69051, 044-42119076

Consulting Hours:
9 AM to 9 PM

Working Days:
Mon to Sun

Mugalivakkam

dentist nearby

No. 43, Sriram nagar Mugalivakkam main road Mugalivakkam, Chennai 600 116.

LandMark: Near Rukmani ramjee Convention hall

Dr. Monica / Dr . Suganya
+91 - 73585 91022, 044 43589272

Consulting Hours:
9 AM to 9 PM

Working Days:
Mon to Sun

Whatsapp Chat

REQUEST CALLBACK